التجاوز إلى المحتوى
لا توجد نتائج
Instagram Facebook YouTube tiktok
  • كل الأخبار
  • بزنس
  • فيديو
  • إدارة
  • مشوار
  • كوكبنا
  • ثقافات
  • تكنو
  • حياتنا
بزنس برس
بزنس برس
  • كل الأخبار
  • بزنس
  • فيديو
  • إدارة
  • مشوار
  • كوكبنا
  • ثقافات
  • تكنو
  • حياتنا
Instagram Facebook YouTube tiktok
بزنس برس
بزنس برس
الرئيسية حياتنا
(تعبيرية بالذكاء الاصطناعي) AI - موقع freepik.com

فوائد شهر رمضان المبارك.. هل تعرف ما هي؟

قطارات الاتحاد - من المصدر

كل ما تود معرفته عن “قطارات الاتحاد” في الإمارات

غابي كول Gabi Kool، الرئيس التنفيذي لشركة لوي لوجيك

كيف يعزز شهر رمضان انتشار مبادرات الولاء في الخليج؟

رمضان في أبوظبي – من المصدر

رمضان أبوظبي.. دفء ومذاق وحياة أخرى

طبيبة تفحص طفلة - موقع drolaalsaed

لا تؤجلوا مشاكل العين ذات الاهتمام العاجل في رمضان

طقوس شهر رمضان المبارك - من المصدر

نصائح للحفاظ على الصحة في شهر رمضان

فعالية Dwight Global Spark 2026 - من المصدر

تنامي نماذج التعليم المرن في الإمارات

مطبخ رمضان مع الشيف منى موصلي – من المصدر

“لا بيتيت ميزون”.. تجربة تذوق في رمضان مع منى موصلي

الكلب تشيس

أول “كبير مسؤولي الكلاب” في حي راقٍ بدبي‎.. إليكم التفاصيل

ديكور وتصميم مستقبلي في الخليج – من المصدر

6 اتجاهات ديكور وتصميم مستقبلية في الخليج لعام 2026

من أجواء "معاً نحتفل بالكرنفال" في أبوظبي

“معاً نحتفل بالكرنفال”.. تعزيز القيم المجتمعية في الإمارات

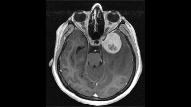
رصد الأورام الدماغية الشرسة‎ - من المصدر

مؤشر حيوي جيني جديد يرصد الأورام الدماغية الشرسة‎

1 2 3 4 … 14
التالي
  • الرئيسية
  • من نحن؟
  • سياسة الخصوصية
  • آخر الأخبار
  • بزنس
  • مشوار
  • كوكبنا
  • فيديو
  • ثقافات
  • تكنو
  • حياتنا
Instagram Facebook YouTube tiktok

كافة الحقوق محفوظة © بزنس برس 2024 - Business Pres